폐렴은 폐에 염증이 생기는 것으로 염증을 일으키는 원인은 세균, 바이러스, 곰팡이 등 다양합니다.
폐렴은 건강한 사람에게 나타날 때는 큰 문제가 되지 않지만,
만성 폐쇄성 폐질환, 천식 등의 폐질환을 앓던 환자가 걸리면 치명적일 수 있습니다.
폐렴은 유·소아 층 진료 인원이 많고,
노인의 주요 사망요인으로 부상되고 있는 만큼 어린이와 노인은 예방접종을 받는 것이 중요하며,
의심되는 증상이 나타나면 즉시 진료를 받아야 하는 질병입니다.
오늘은 저와 함께 폐렴 초기 증상과 원인/치료법을 알아보도록 하겠습니다.

폐렴 원인
성인들이 폐렴에 걸리는 가장 흔한 원인은 세균 감염인데,
세균 중에서도 폐렴구균이 가장 많습니다.
어떤 종류의 폐렴은 감기 같은 상부 호흡기 감염의 후유증으로 발생하는데요
건강한 성인에게 폐렴을 일으키는 다른 원인으로는 헤모필루스나 마이코플라즈마 같은 세균이 있고
레지오넬라라고 불리는 세균은 레지오넬라병을 일으키는데,
이 질환은 에어컨을 통해 퍼질 수 있습니다.
레지오넬라병은 간이나 신장에도 질병을 일으킬 수 있습니다.

폐렴 취약군
황색포도상구균 폐렴은 병원에 입원해 있는 환자들이 많이 걸리는데
특히 어린이나 노인들이 취약하다고 합니다.
이 폐렴은 독감의 심각한 합병증으로 발생할 수도 있고
병원에서 걸릴 수 있는 다른 종류의 폐렴으로는 클렙시엘라나 녹농균에 의한 감염이 있습니다.
바이러스도 폐렴을 일으킬 수 있는데 독감이나 수두가 원인이 될 수 있습니다.
또한 면역력이 떨어진 사람들에겐 곰팡이나 원충이 폐렴의 원인이 될 수 있는데요
건강한 성인들은 이런 원인균에 감염되는 일이 거의 없으며, 감염되더라도 가볍게 지나갑니다.
흡인성 폐렴이라 불리는 드문 종류의 폐렴은 구토물을 흡입했을 때 발생하는데
흡인성 폐렴은 술을 많이 마시거나 약물중독이 있을 때,
그리고 두부 손상으로 인해 의식이 없기 때문에 기침 반사를 할 수 없는 환자들에게 가장 흔하게 발생합니다.

감기와 다른 폐렴의 초기 증상
감기는 감기 바이러스에 의한 것이므로 원칙적으로
폐렴으로 넘어가지는 않으나 드물게 폐렴이 되기도 합니다.
하지만 대다수 폐렴은 폐렴을 일으키는 균이 직접 폐에 들어가 병이 생기는 것인데요
일부 폐렴은 시초에 감기증상과 유사하므로 감기가 폐렴이 된 것같이 보입니다.
폐렴의 초기 증상은 감기 정도의 가벼운 증상을 보이다가
급속히 진행되면 고열, 기침과 가슴 통증, 호흡곤란, 가래 등의 비슷한 증상을 나타내지만,
노인의 경우 20~30%는 증상이 없어 뒤늦은 진료를 통해 폐렴을 진단받기도 합니다
어린이나 노약자는 기관지폐렴에 걸리면 호흡 혼란이나 청색증 등 심한 경과를 보일 수 있으니
증상이 나타나면 바로 병원에 방문하셔야 합니다.
세균성 폐렴은 진행이 빠르기 때문에 증상이 몇 시간 내로 심각해지는데
세균성 폐렴 증상은 다음과 같습니다.
* 기침을 할 때 피가 섞여 나오거나 녹슨 쇠 빛깔의 가래가 나온다.
* 숨을 들이마실 때 흉통이 심해진다.
* 지속적으로 숨이 가쁘다.
* 고열, 섬망, 의식 혼미 증상이 나타난다.
세균 이외의 다른 병균에 의한 폐렴은 서서히 시작되는 비특이적인 증상을 유발합니다.
며칠 동안 온몸의 상태가 전반적으로 좋지 않고 열이 나면서 식욕을 잃을 수 있고
경우에 따라서는 기침이 나거나 숨이 가쁜 증상만 나타나기도 합니다.
신생아, 어린이, 노인의 경우에는 폐렴 증상이 명확하지 않을 수 있다. 신생아들은 처음엔 구토만 하다가 점점 열이 오르면서 경련을 일으킬 수 있다. 노인들은 호흡기계 증상이 없을 수도 있으며 단지 의식만 혼미해지기도 한다.

바이러스성 폐렴과 세균성 폐렴은 어떻게 다를까?
바이러스성 폐렴은 신생아 시기를 제외한 소아 전 나이에서 가장 흔한 폐렴으로
초기 증상은 세균성 폐렴과 같지만, 서서히 나타나며 쌕쌕거리는 숨소리가 날 수 있으며
기침이 점차 더 심해질 수 있습니다.
세균성 폐렴은 빠르게 진행하며
가래를 동반한 기침, 흉통, 구토 혹은 설사, 식욕부진, 피로감 등의 증상이 나타납니다.
폐렴은 감기와 다르게 저절로 호전되지 않고 심한 호흡기계 증상을 보이는 경우가 많은데
감기로 생각했으나 높은 열이 발생하고, 화농성 가래 및 호흡곤란, 무기력 등의 증상이 나타나면
즉시 전문의의 진료를 통해 폐렴 여부를 진단하고, 가래나 혈액검사로 원인균을 찾아야 합니다.

합병증
폐렴으로 생긴 염증이 폐포에서 늑막(폐를 흉곽으로부터 분리시키는 두 겹의 막)으로 퍼져
늑막염을 일으킬 수 있습니다. 두 늑막 사이에 액체가 고이면 폐를 압박하여 호흡곤란이 나타나기도 합니다.
심한 경우에는 감염을 일으킨 병균이 혈류 속으로 들어갑니다.
어린이, 노인, 면역력이 약한 환자들은 폐렴에 의한 염증이 폐조직으로 퍼져
호흡부전을 일으키는데 이렇게 되면 생명이 위험해질 수 있습니다.
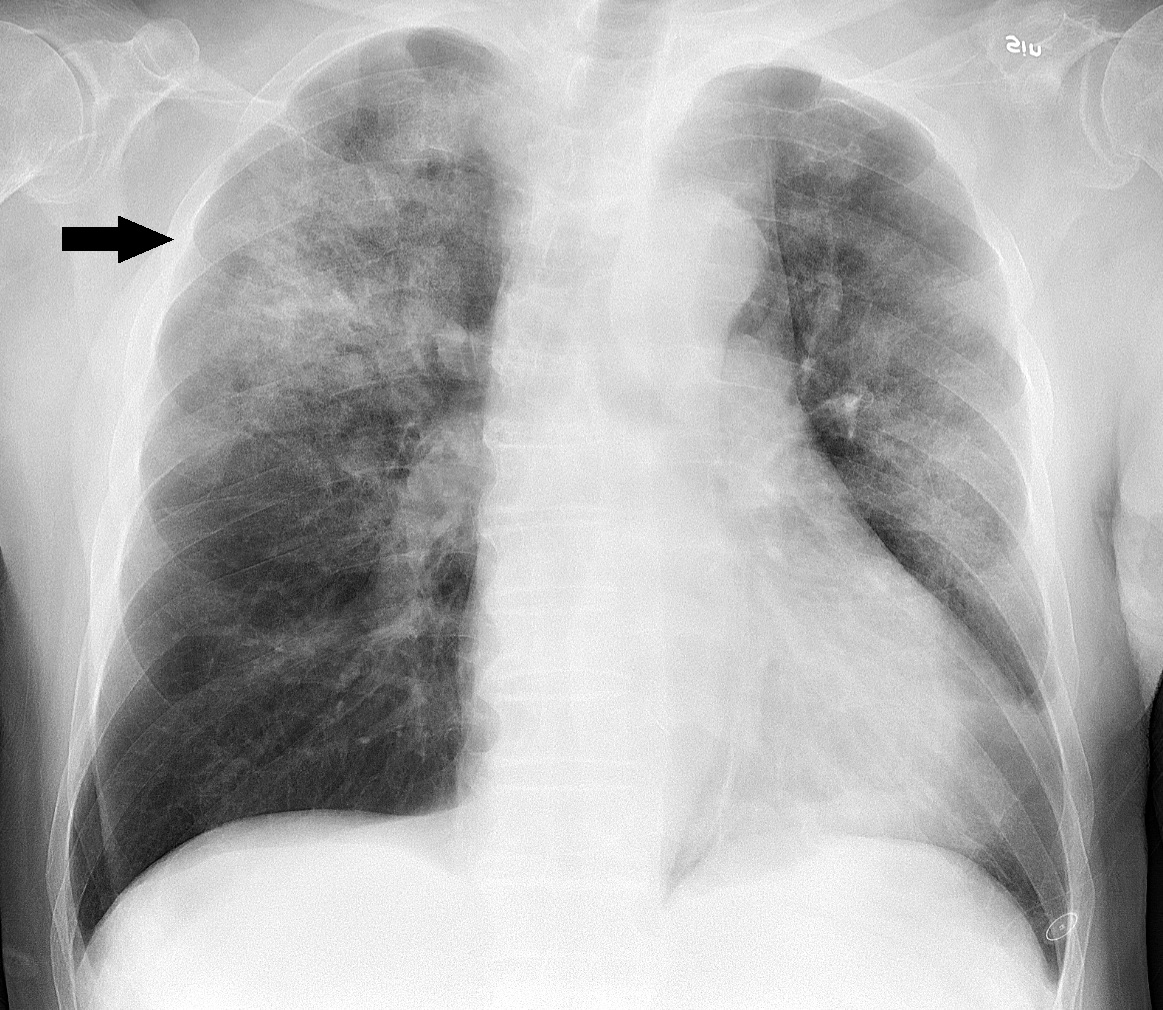
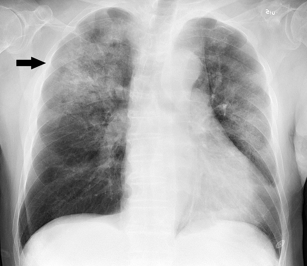
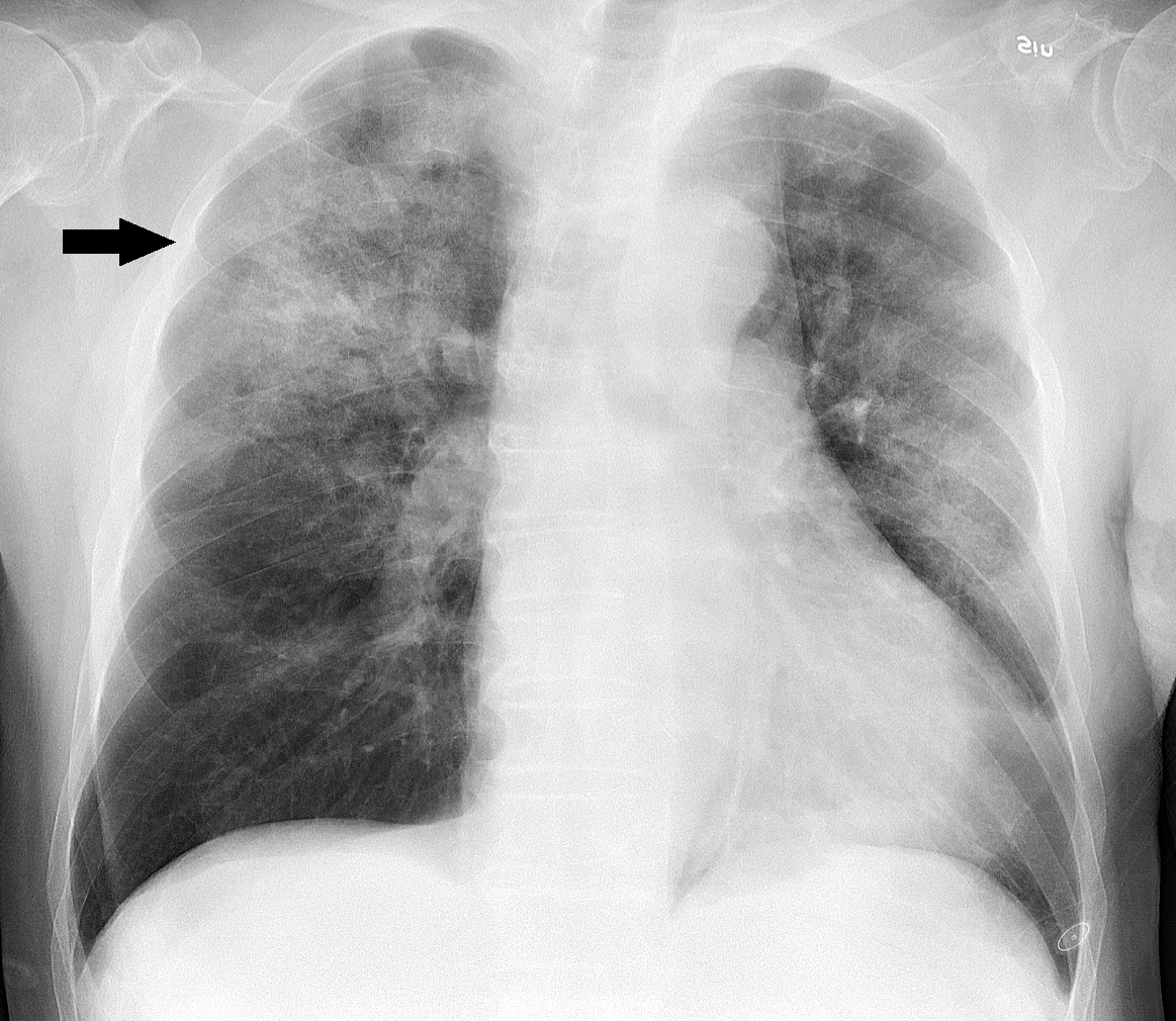
진단 방법
폐렴이 의심되면 흉부 X-선 검사로 진단을 내리는데
흉부 X-선 검사는 병이 얼마나 퍼졌는지도 보여줍니다.
가래를 모아 감염을 일으킨 원인 병균을 찾기 위해 검사를 합니다.
좀 더 정확한 진단을 내리기 위하여 혈액검사를 하기도 합니다.
치료방법
다른 질환이 없으면서 폐렴 증상 또한 경미한 상태라면 집에서도 치료 가능합니다.
진통제가 열과 통증을 줄여주는 데 도움이 될 수 있습니다.
세균이 폐렴의 원인이라면 항생제로, 또 곰팡이에 의한 폐렴이라면 항진균제로 치료해야 합니다.
가벼운 바이러스성 폐렴은 보통 치료를 받지 않아도 되는데
하지만 심한 폐렴 환자나 신생아, 어린이, 노인, 면역력이 떨어진 환자들은 입원 치료가 필요합니다.
약물 치료는 기본적으로 집에서 치료받는 환자들과 같습니다.
수두를 일으키는 대상포진 바이러스처럼 심한 바이러스성 폐렴 환자들은
아시클로버를 경구나 정맥으로 투여받아야 합니다.
환자의 혈중 산소 농도가 낮거나 호흡이 곤란하다면 안면 마스크를 통해 산소를 공급받아야 합니다.
드물게는 중환자실에서 인공호흡기 치료를 받기도 합니다
병원에 있는 동안에는 기도에 있는 객담이 묽어져
기침과 함께 배출되도록 흉부 물리치료를 정기적으로 받아야 합니다.
예후
건강한 젊은이라면 대부분 2-3주 내에 회복되며 폐조직에 영구적인 손상도 남지 않고
세균에 의한 폐렴은 항생제를 투여한 지 몇 시간 내에 증상이 호전되기 시작합니다.
그러나 레지오넬라병처럼 심한 폐렴인 경우, 특히 면역 기능이 떨어진 환자들은 생명이 위험할 수 있습니다.

백신으로 예방이 최선, 폐렴구균 예방접종
폐렴을 예방하기 위해서는 만성적으로 앓고 있는 질환을 철저히 치료하고,
영양 상태를 잘 유지하면서 금연해야 합니다.
손 씻기 등 개인위생을 철저히 하고 가능하면 모든 사람이 독감 백신을 접종받아야 합니다.
만 65세 이상이면 전국 어느 보건소에서나 무료로 접종할 수 있으니 알아두시는 것이 좋겠습니다.
매년 폐렴구균 예방접종을 가을에 접종하면 독감과 그 합병증으로 올 수 있는 폐렴의 예방에 도움이 된답니다.
폐렴구균 백신은 노인과 소아의 감염을 예방하는 데 효과가 있고 증상을 완화할 수 있고
독감에 걸리면 합병증으로 독감 바이러스에 의한 폐렴이나
이차 세균 감염에 의한 세균성 폐렴에 걸릴 수 있으므로 매년 독감 예방주사를 맞는 것이 좋습니다.
'건강백과' 카테고리의 다른 글
| 불면증의 원인과 증상과 치료 방법 (0) | 2022.08.01 |
|---|---|
| 사시 원인과 증상 & 치료 방법 (0) | 2022.07.17 |
| 과민성 대장 증후군 원인과 증상 (0) | 2022.03.10 |
| 빈혈에 좋은 음식과 생활습관 (0) | 2022.03.04 |
| 배에 가스 차는 이유 해결 방법 (0) | 2022.03.04 |
댓글